新横浜整形外科リウマチ科

HOME > 整形外科 >肩腱板断裂

肩腱板断裂

肩腱板断裂かたけんばんだんれつとは

肩腱板断裂とは、肩関節を安定させ動かす役割をもつ腱板が、転倒して手をついたり肩を強打した際に切れたり、部分的に傷ついた状態を指します。
また、高齢になると自然に腱板が切れて肩が痛みがでることもあります。

腱板断裂関節症

症状

 肩を動かしたときの痛み
 腕が上がりにくい、力が入らない
 夜間痛(寝ているときの痛み)

原因

腱板の消耗(繰り返し動作)と腱板の変性加齢、最終的に外傷が加わって断裂(棘上筋断裂が多い)にいたります。
若年者では、繰り返し動作(仕事、スポーツなど)、外傷(転倒など)で発生することが多く、50歳以降では、腱板の変性加齢により、日常生活でも自然に断裂が生じることもあります。
断裂型には、完全断裂と不全断裂(滑液包面断裂)があり、スポーツによる投球障害では不全断裂を起こしていることが多いです。

診断

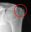
診察、X線(レントゲン)、超音波エコー、MRIを行います。
X線(レントゲン)所見では、肩峰や上腕骨の変形や、肩峰と骨頭間距離などにより評価をします。
超音波エコーでは、エコーの届く範囲での断裂部の確認、動作の中で腱板の評価が可能です。
MRIでは深部までの評価が可能で、腱板の断裂、筋萎縮(脂肪変性)の所見がみられます。
またMRIでは、腱板断裂以外(腫瘍、ガングリオンなど)の疾患も確認することが可能です。

治療について

急性期には三角巾などで1~2週安静にします。
一定期間の安静の後、保存療法(注射療法とリハビリテーション)を行ないます。
注射療法では、肩関節周囲炎を併発した際に、疼痛が強い時にステロイド注射を肩峰下滑液包に行い、夜間痛が改善後にヒアルロン酸注射に切り替えます。
完全断裂でなければ、残っている腱板機能を回復させるリハビリテーションが有効です。

半年~1年程度の保存療法で肩関節痛と運動障害が治らないときは、手術療法が行われます。
手術には、関節鏡視下手術と直視下(オープン)手術があり、関節鏡視下手術が普及してきています。
1~2週間の入院、手術後は約4週間の固定と3か月程度のリハビリテーションが必要です。