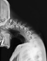
首下がり症候群とは、首の筋肉や骨の構造の問題により首が絶えず前に曲がってしまい、体幹に対して頭部が前屈している状態を指します。
通常、首は頭と共にまっすぐに位置するべきですが、首下がり症では頭が前方に傾いてしまい、姿勢が悪くなります。
首の前傾
呼吸が苦しい
肩こり
頭痛、頭部が重く感じる
首や背中の痛み、腰痛
歩行時の不安定感
首周りの筋肉が不均衡な状態にあると、正しい姿勢を維持することが難しくなります。
例えば、背中や首の裏側の筋肉が弱くなると、前方に倒れやすくなります。
長時間同じ姿勢を続けたり、デスクワークやスマートフォンの使用により、首を前に傾けたままでいることが首下がり症を引き起こす可能性があります。

一部の病気や先天的な骨の形成異常により、首の骨が正常な位置にならないことがあります。
治療は症状や原因により異なりますが、物理療法や筋力トレーニング、姿勢の改善に焦点を当てたリハビリテーションが行われることがあります。
また、頚椎装具をつけることで頭部を適正位置で保持し、頚部の負担軽減を図ることも可能です。